Uutiset
16.4.2026
15.4.2026
Tapahtumat
17
Huhti
2026
Siirry Ajankohtaista-osioon
Suomeksi
In English
Omavaraisuuteen liittyvien toimien keskiössä ovat koulujen ympäristökerhot, joissa harjoitellaan muun muassa pellolta pöytään -käytäntöjä.
Symposiumin teema konflikti ja harmonia tarjoaa mahdollisuuden keskustella esimerkiksi ihmisen ja teknologian välisestä konfliktista ja sen vaikutuksesta alan tulevaisuudennäkymiin.
Nykyteknologialla potilaalta voidaan mitata muutaman laboratoriokokeen sijaan tuhansia tai jopa miljoonia molekyylitason piirteitä. Fortinon tutkimusryhmä kehittää laskennallisia menetelmiä näiden tietomassojen tulkintaan.
Tehokkaasti käytettyinä potilastietojärjestelmien tiedot lisäävät ymmärrystä terveydenhuollon muutoksista ja hoidon laadusta.
Tutkimuksen tuloksena syntyi ilmiökeskeisen oppimisen ekosysteemin käsitteellinen malli sekä sitä tukevat suunnitteluperiaatteet avoimien tiedeprojektien toteuttamiseen.
Nuoret metsänomistajat kokevat, että vallitsevista metsänkäyttönormeista poikkeaminen on vaikeaa, ilmenee Itä-Suomen yliopiston ja Luonnonvarakeskuksen tutkimuksessa.
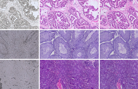
Väitöskirjatyössä kehitettiin ja sovellettiin histologista virtuaalivärjäystä, joka on kemiallisen värjäyksen korvaamista tekoälypohjaisella virtuaalisella värjäyksellä.
Itä-Suomen korkeakouluyhteisön huippuseminaari kokosi laajan joukon keskeisiä toimijoita keskustelemaan yhteistyön syventämisestä ja valmistelun jatkosta.
Suomalaisen terveydenhuollon historiaa on usein tarkasteltu valtiokeskeisesti, jolloin esim. kirkon rooli on jäänyt sivuun. Tutkimus osoittaa, että diakoniatyö oli osa terveydenhuollon rakentumista.
27-29
Touko
2nd Annual TALONS Conference