Hyppää pääsisältöön

Tarkenna hakuasi

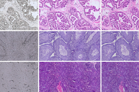
Vasemmalla värjäämätön kudos, keskellä kemiallisesti värjätty ja oikealla virtuaalivärjätty kudos. Ylärivillä eturauhanen, keskellä kives ja alhaalla munuainen. Kuva: Sonja Koivukoski.

Vasemmalla värjäämätön kudos, keskellä kemiallisesti värjätty ja oikealla virtuaalivärjätty kudos. Ylärivillä eturauhanen, keskellä kives ja alhaalla munuainen. Kuva: Sonja Koivukoski.

FM Sonja Koivukoski, väitös 17.4.2026: Tutkijoiden kehittämä virtuaalivärjäys voisi nopeuttaa potilasnäytteiden tutkimista ja vähentää kulutusta

Biolääketieteen alaan kuuluva väitöskirja tarkastetaan terveystieteiden tiedekunnassa Kuopion kampuksella. Tilaisuutta voi seurata myös verkossa.

Mikä on väitöstutkimuksesi aihe? Miksi aihepiiriä on tärkeää tutkia? 

Väitöstutkimukseni aihe on virtuaalivärjäyksen soveltuvuus histologisiin kokoleikekuviin. Väitöskirjatyössäni kehitettiin ja sovellettiin histologista virtuaalivärjäystä, joka on kemiallisen värjäyksen korvaamista tekoälypohjaisella virtuaalisella värjäyksellä. Aihepiiri on tärkeä, sillä histologisiin värjäyksiin, joita käytetään paljon kliinisissä laboratorioissa ja tutkimuksessa, kuluu haitallisia kemikaaleja ja vettä ja niistä koituu henkilöstö- ja muita laboratoriokuluja. Virtuaalivärjäyksellä kulutusta voitaisiin vähentää huomattavasti. Virtuaalivärjäys mahdollistaisi myös tismalleen samojen solujen tarkastelun yhden ainoan värjäyksen sijaan myös esimerkiksi useassa värjäyksessä samanaikaisesti tai yhdistelminä edistyneempien molekyylitekniikoiden kanssa. 

Mitkä ovat väitöstutkimuksesi keskeiset tulokset tai havainnot? 

Havaitsimme, että perinteistä hematosykliini-eosiini (HE) -värjäystä vastaava virtuaalivärjäys on toteutettavissa värjäämättömälle valomikroskopiakuvalle. Osoitimme, että ohjattuun oppimiseen perustuva tekoälymenetelmä soveltuu tehtävään ohjaamatonta paremmin. Tutkimme neuroverkon kapasiteetin vaikutusta virtuaalivärjäyksen onnistumiseen ja havaitsimme korkeakapasiteettisemman neuroverkon suoriutuvan matalakapasiteettista paremmin. Tämä tarkoitti yksityiskohtaisempia virtuaalivärjäyksen tuloksia sekä vähemmän tekoälyn tuottamia hallusinaatioita.

Tämän jälkeen sovelsimme menetelmäämme potilaiden rintasyöpänäytteisiin ja havaitsimme, että prekliinisessä työssä kehitetty algoritmi suoriutuu hyvin syöpäkudoksen virtuaalivärjäyksessä. Tämän osoitti muun muassa se, että hyvin suoriutuvilla alueilla virtuaalivärjäyksen tarkkuus mahdollisti tumatason yksityiskohtien havaitsemisen esimerkiksi mitoottisissa soluissa. 

Tutkimus on ainutlaatuinen ja ansiokas, koska aiemmat ja tutkimuksen aikana julkaistut virtuaalivärjäystutkimukset eivät ole käsitelleet virtuaalivärjäyksen tuloksia histologisesta näkökulmasta, vaan ovat keskittyneet arvioimaan tuloksia lähinnä laskennallisilla, kvantitatiivisilla menetelmillä. Lisäksi lähestymistapaa ei ole aiemmin sovellettu rintasyöpämateriaaliin. Histopatologisten näytteiden määrä on maailmanlaajuisesti erittäin suuri. Menetelmämme voisi nopeuttaa diagnostista työnkulkua, jolloin potilaat voisivat saada hoitoa nopeammin. Samalla patologian kemikaali- ja vedenkulutus voisi vähentyä merkittävästi.

Miten väitöstutkimuksesi tuloksia voidaan hyödyntää käytännössä? 

Perusteellisen validointiprosessin jälkeen virtuaalivärjäystä voitaisiin käyttää sekä tutkimuksessa että kliinisissä laboratorioissa korvaamaan kemiallinen HE-värjäys.

Mitkä ovat väitöstutkimuksesi keskeiset tutkimusmenetelmät ja -aineistot?

Tutkimuksessa käytettiin prekliinisiä sekä potilaiden rintasyöpäkudoksia. Kehitimme virtuaalivärjäysmenetelmän, jossa värjäämättömät kudokset kuvattiin tavallisella valomikroskoopilla. Tämän jälkeen ne värjättiin ja kuvattiin uudelleen. Tuotetun datan avulla opetettiin kuvasta-kuvaan muunnospohjaisia tekoälymenetelmiä, jotka oppivat tuottamaan virtuaalivärjätyn kuvan värjäämättömästä kuvasta. Tulokset arvioitiin kvantitatiivisesti sekä perusteellisen visuaalisen histologisen analyysin avulla. Työ tehtiin tutkimusjohtaja Leena Latosen tutkimusryhmässä Itä-Suomen yliopistossa yhteistyössä Turun yliopistossa työskentelevän apulaisprofessori Pekka Ruusuvuoren tutkimusryhmän kanssa. Projekti on osa EU:n rahoittamaa ERAPerMed ABCAP -projektia sekä Suomen Akatemian rahoittamaa suurteholaskennan erityisprojektia, joissa pyritään luomaan huippuluokan syväoppimiseen perustuvia tietokonemalleja rutiininomaisen histopatologisen luokittelun parantamiseksi.

Filosofian maisteri Sonja Koivukosken väitöskirja Applicability of virtual staining in histological whole slide images (Virtuaalivärjäyksen soveltuvuus histologisiin kokoleikekuviin) tarkastetaan terveystieteiden tiedekunnassa. Vastaväittäjänä toimii professori Johanna Arola Helsingin yliopistosta ja kustoksena tutkimusjohtaja Leena Latonen Itä-Suomen yliopistosta.

Väitöstilaisuus

Väitöskirja 

Lisätietoja:

FM Sonja Koivukoski, [email protected]https://uefconnect.uef.fi/sonja.koivukoski/